
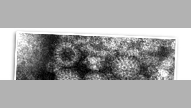
PED (Porcine Epidemic Diarrhoea) on the rampage
Control of outbreaks on problem farms in Asia remains an attempt to raise herd immunity by use of live virus feedback material. However, the current outbreaks have shown only transient herd immunity with these programs.














