Porcine circovirus type 2 (PCV2) is endemic in swine herds and both viremia and shedding are demonstrated in newborn as well as in adult pigs. The reduction of PCV2 circulation is a protective strategy to be attained by several direct and indirect prophylactic measures. Since 1999, field evidence of transplacental infection by porcine circovirus type 2 (PCV2) and reproductive failure has been reported in pigs. The objectives of this project were in a first step to evaluate the clinical and pathological consequences of PCV2 infection in conventional PCV2-seropositive gilts by insemination with PCV2b-spiked semen and in a second step, to evaluate viremia, virus shedding and viral load in maternal tissues and foetuses in conventional gilts vaccinated or non-vaccinated against PCV2 coming from a PCV2 positive farm, and challenged during artificial insemination by experimentally PCV2 infected semen.
The first experiment was performed in 9 conventional gilts, randomly separated in two groups: 6 inseminated with PCV2 and 3 inseminated with PCV2-free semen. Among infected gilts, the animal with the lowest anti-PCV2 titre (1/100) at the beginning of the experiment and another that reached a similar low value during the experiment showed evident seroconversion over time and had also PCV2 positive foetuses. One placenta displayed mild focal necrosis of the chorionic epithelium positively stained by immunohistochemistry for PCV2 antigen. The results obtained suggest that PCV2-seropositive gilts can be infected with PCV2 after intrauterine exposition, low antibody titres may increase the probability of fetal infection, placental lesions due to PCV2 may represent an additional cause of fetal suffering in PCV2 infection and PCV2 infection close to insemination time may affect embryos.


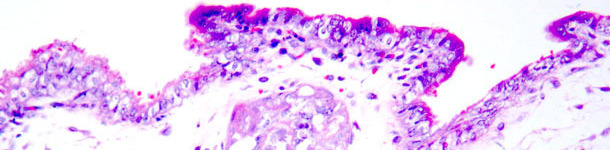
Fig. 1 - Coagulation necrosis of trophoblasts. Haematoxylin and eosin stain.
In order to explore the protection induced by a vaccination with a PCV2 vaccine registered for sows, the same general experimental design was applied including 15 conventional gilts, originating from a PCV2 positive herd. Gilts were randomly separated in three groups, 12 were inseminated with PCV2-spiked semen in which 6 were vaccinated twice with a sow vaccine against PCV2 at 5 and 2 weeks before insemination (vaccinated-infected = VI) and 6 were not vaccinated but infected at time of insemination using PCV2-spiked semen (non-vaccinated infected = NVI), when 3 remained unvaccinated and uninfected with spiked semen (Control = C). The following main results were obtained: a) most of the NVI and C gilts were found PCV2-PCR-viremic before insemination as well as at many time points over the observation period (up to 56 days after insemination), contrary to the vaccinated-infected (VI) that showed a very low number of positive results in blood samples; b) the vaccinated-infected (VI) group showed a significantly lower number of positive in vivo collected samples compared to the non-vaccinated infected (NVI) and to the control (C) groups; c) in the VI group a lower percentage of placentas and none of the foetuses were found PCV2 positive by PCR, compared to NVI and C groups that show a higher percentage of PCV2 positive placentas as well as 1 foetus and 3 amniotic fluids PCV2 PCR-positive in the NVI group and 1 positive foetus in the C group; d) in the VI group few samples show high viral-load ≥ 108 PCV2 genome copies/ml. Antibody level in the VI group appeared to be lower than in NVI and C groups, probably due to a lower infectious immune stimulation over time. Then, probably the antibody level may not be the only vaccine effect; an increase of the mucosal immune response to PCV2 can prevent the entry of the virus and consequently its shedding as well as reduces the likelihood of foetus and amniotic fluid infection.

Fig. 2 - Immunohistochemical brown staining of PCV2b antigen in necrotic trophoblasts.
Diaminobenzidine chromogen and haematoxylin counterstain.
In these experiments, insemination of conventional gilts with PCV2 spiked semen was shown to provoke infection of foetuses as well as placentitis and a PCV2 vaccination of the gilts prior to insemination with PCV2 spiked-semen showed a clear decrease of viral load in the gilts as well as a much lower viral excretion that were compatible with foetus protection.



