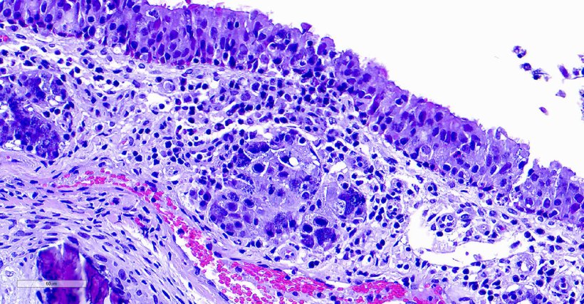
Inclusion body rhinitis (IBR) is caused by porcine cytomegalovirus (PCMV). This disease was originally named “inclusion body rhinitis” based on the histopathological characteristics of the disease. These animals exhibit basophilic intranuclear inclusion bodies primarily in the submucosal glands, although such inclusions can also be found in other tissues. Even though PCMV is widespread and highly prevalent in swine populations, its impact on the swine industry remains poorly defined and is often underestimated, partly due to potential interactions with other pathogens.
Objective: The aim of this study was to assess the relationship of IBR in pigs with other findings observed in necropsies.

Methods: To this end, the present experimental-retrospective study analyzed 1,621 porcine necropsies performed from 2010 to 2022 at the Veterinary Pathology Diagnostic Service of the Autonomous University of Barcelona. Three study groups were defined: 38 animals with IBR (Group 1), 47 with rhinitis without inclusion bodies (Group 2), and 48 without rhinitis and inclusion bodies (Group 3).

Results: After applying multiple statistical methods, comparative analysis revealed that serous atrophy of subepicardial fat and atrophy and fusion of intestinal villi were significantly more common in PCMV-infected pigs than in the control groups, suggesting a possible association with multisystemic wasting signs. Additionally, gastritis was more frequent in Groups 1 and 2 compared to Group 3.
Conclusion: These findings indicate that PCMV infection is not always subclinical and may be associated with systemic changes in pigs under field conditions.
