
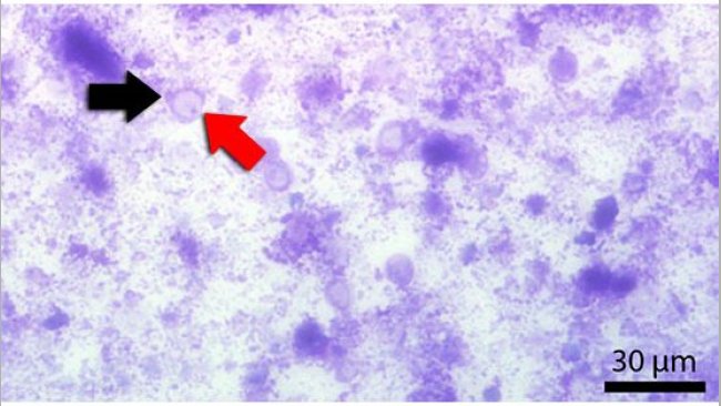
Clinical case: Blastocystis sp.: Do we have to consider a new enteropathogen?
Due to the fact that no known enteropathogen was found in clinically relevant amounts, importance of massive Blastocystis sp. infestation was counted as significant in this case.




